0574 63995898 17788539772 微信号同手机号)
特色肿瘤治疗
当前位置: 首页> 特色肿瘤治疗> 治疗手段

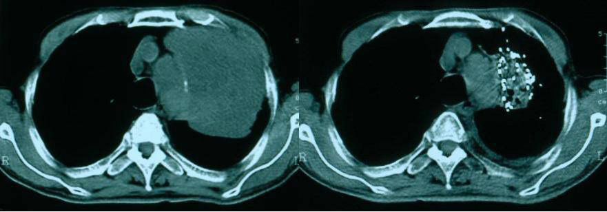
放射性粒子植入治疗技术

粒子植入全称为“放射性粒子植入治疗技术”,是一种将放射源植入肿瘤内部,让其以摧毁肿瘤的治疗手段,属于放射治疗的一种特殊照射方式,而放射治疗是治疗肿瘤三大手段之一,70%肿瘤病人需作放射治疗。


597934252312771357


放射性粒子组织间永远植入治疗肿瘤是指通过影像学引导技术(超声、CT/MRI) 将具有放射性的核素直接植入到肿瘤靶体积内或肿瘤周围,通过放射性核素持续释放射线对肿瘤细胞进行杀伤,达到治疗肿瘤的目的。


406574048473516959


适应症:
目前慈林肿瘤中心粒子植入治疗应用较多的恶性肿瘤包括:前列腺癌、脑肿癌、肺癌、头颈部肿瘤、胰腺癌、肝癌、肾及肾上腺肿瘤以有眶内肿瘤。其适应症主要有:
1.经病理诊断的恶性实体肿瘤。
2.直径7CM以下的实体病灶。
3.局部进展期肿瘤,用粒子植入需要结合外照射等综合治疗措施。
4.局部进展难以用局部治疗方法控制,或有远位转移晚期肿瘤,但因局部病灶引起严重症状者,为达到姑息治疗目的,也可行粒子植入治疗。

搜索中心

×