0574 63995898 17788539772 微信号同手机号)
特色肿瘤治疗
当前位置: 首页> 特色肿瘤治疗> 治疗案例

食道癌晚期到底要不要治?这种做法值得参考

作者:慈溪慈林医院肿瘤中心  浏览量:3233  发布时间:2019-04-24

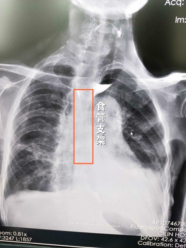
73岁的黄大爷进行性吞咽困难伴恶心呕吐已经有半年,被诊断为食道癌晚期。心灰意冷的他,也没怎么进行后续治疗。

 

近期,他的病情发展到连水都咽不下,肚中空空如也,但到达胃部的通道却被堵住了,想吃却吃不下。更糟糕的是,癌痛也折磨着他,让他身心俱疲。

 

上星期五,走投无路的黄大爷找到慈林医院心胸外科的于军主任,让他想想办法。

 

于军主任研究了黄大爷的病情后,为黄大爷做了食管支架,并为他处理了癌痛问题,到了今天,黄大爷已经能够正常地喝水吃粥了。

                                  

多日来吃下第一顿饭,身上也不那么疼了,黄大爷舒了一口气,精神头也好多了。

 

于军主任道,黄大爷的问题,是很多晚期食道癌患者都会面临的问题。

 

晚期食道癌要不要治疗?如何治疗?

                                 

一些人认为,反正也治不好,治疗意义不大,不过是费时费力。

 

但于军主任有不同的看法。对于晚期食道癌患者,我们应该通过恰当的治疗减轻患者的痛苦,提高患者的晚期生存质量,进而延长患者的生存期。治疗主要着眼于解决患者的饮食及疼痛问题,这也是折磨晚期食道癌患者的两大主要问题。

 

总而言之,对于晚期食道癌患者,科学、合理、有效的治疗方法有利于延长生存期,提高患者的生活质量。切不可对癌症听之任之。

 

晚期食道癌的症状——

 

1、吞咽艰难

食道癌的中晚期最典型的病症是进食吞咽困难。通常开始为固体食物进行咀嚼后不能顺畅咽下,用汤或水冲后咽下,再到半流质食物相同不能顺畅咽下,最后是流质食物也咽下困难。吞咽的不顺程度和病况病理的类型有着密切关系,缩窄型及髓质型较严峻。

                                 

2、出血

食道癌组织坏死,溃破或或侵及大血管引起呕血或是大便时出黑便,如肿瘤侵及主动脉时可引起大出血而导致死亡。

                                

3、吐粘液

食道病变后引起食道不完全或者是完全梗阻,便会使分泌物引流不顺畅,积于食管狭窄的上部,会刺激食道逆蠕动后吐出。

                               

4、疼痛

胸前或者是背部痛苦是晚期食道癌多见的症状之一。痛苦分为隐痛、刺痛、烧灼痛、钝痛还可伴沉重感。而胸背痛通常是因为癌瘤外侵引起的食道周围炎症、纵隔炎、乃至可能会累及附近器官、或神经椎旁的组织。而溃疡型及髓质型伴有溃疡者痛苦更为多见。

                               

5、锁骨、颈部出现肿块

这是晚期的食道癌常见的一种体征,一般肿块没有痛感,会慢慢长大,硬,一般是长在左侧,或者也可能两侧都有。

                               

如何预防食道癌?

 

1、不能蹲着吃饭

如果蹲着吃饭的话会增加腹腔压力,食物进入胃里面的时间也会受到阻碍,从而增加了食管蠕动以及压力来运送食物,这样就会让食物和食管产生一定的摩擦,对食管壁造成了损伤,从而容易发生癌变。

                             

2、不能狼吞虎咽

如果吃饭时速度过快就会误吞鱼刺、肉骨头等,这些硬性骨刺就会直接刺破患者的食管壁,而且创口很难愈合,时间久了就容易腐败,慢慢的变成食管癌。

                                    

3、不能吃过烫或粗糙的食物

食物到达胃腔必须要经过食管,食管具有一定的弹性,并且最里面是一层黏膜上皮层又薄又软,容易和食物摩擦,很容易受到食物的多种刺激。

 

4、戒掉烟酒

酒里面含有的乙醇以及烟里面含的焦油、一氧化碳等有害物质,会直接侵袭患者的食管、口腔、咽喉等,从而诱发了癌症的发生,所以一定要戒掉烟酒。

 

温馨提示

一旦发现了食管癌的症状,应该选择正规的医院接受治疗,另外在生活中一定要做好护理,适当的锻炼身体,避免暴饮暴食,多吃新鲜的蔬菜和水果,不能吃过于粗糙以及过烫的食物。

 

 

搜索中心

×