目前国内头颈部肿瘤的治疗,仍主要参考NCCN指南以及ESMO指南,我国的CSCO亦已经发布了最新版的头颈部肿瘤诊疗指南,但是仍缺乏以放疗为主的头颈部肿瘤诊治指南。
鉴于此,中国医师协会放射肿瘤治疗医师分会组织了国内众多的头颈部肿瘤放疗专家编写了本次头颈部肿瘤放疗指南,涉及除了鼻咽癌以外的各个头颈部解剖部位的病种,以期为国内的头颈部肿瘤放疗提供指导规范。
本文将为大家分享下咽癌放射治疗指南(2021版)及病例的靶区勾画示范。





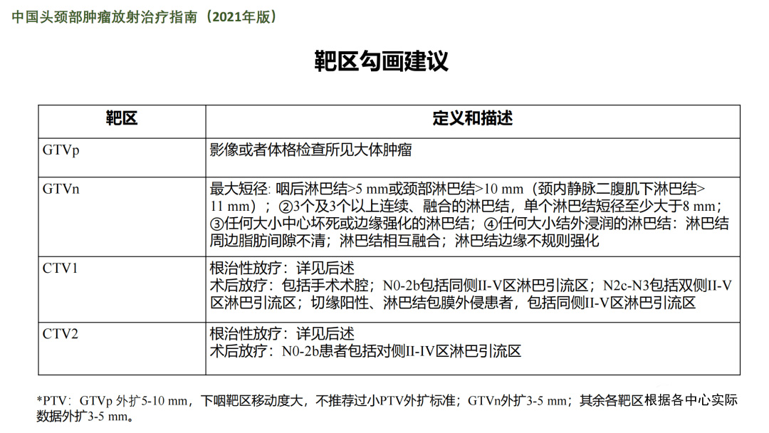
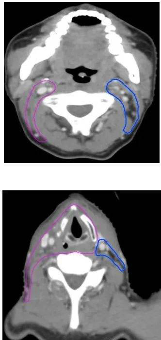
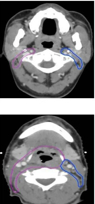
病例一:根治性放疗(下咽鳞癌T2N2bM0 IVA期,左侧梨状窝)
GTVp 66-70Gy
GTVn 66-70Gy
GTV1 66Gy
GTV2 50-54Gy
GTVp为肿瘤原发灶(由喉镜和CT、MRI、PET/CT等检查共同确定)
GTVn为阳性淋巴结(由CT、MRI、PET/CT等检查共同确定)
CTV1为高危亚临床病灶(包括左侧梨状窝原发灶、阳性淋巴结、同侧咽后及同侧淋巴引流区II-V区,全喉及相邻会厌前)
CTV2为低危亚临床病灶(包括对侧咽后及淋巴引流区II-IV区)
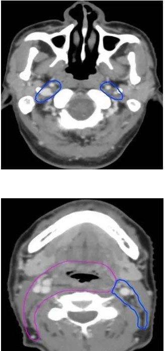
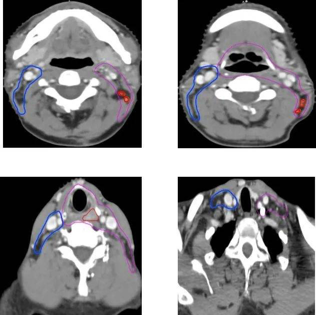
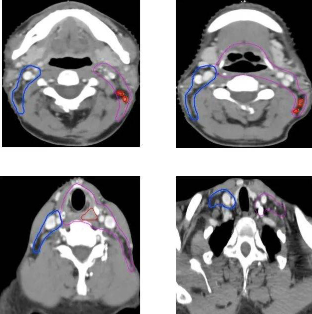
病例二:术后辅助放疗(下咽鳞癌T2N2bM0 IVA期,右侧梨状窝,右颈II-III区淋巴结转移
GTV1 60Gy
GTV2 50-54Gy
CTV1为高危亚临床病灶(包括术后瘤床区、同侧II-V淋巴引流区,全喉及相邻会厌前间隙,椎前筋膜间隙)
CTV2为低危亚临床病灶(包括双侧咽后淋巴结及对侧II-IV区淋巴引流区)